연세대전문의
구의동
구강외과 전문의
광진구에서 만나는 전문적인 장비와 진료
연세원드림치과는 전문적인 장비와 진료 시스템을 통해
안전하고 편안한 진료 환경에서
환자 맞춤형 수준 높은 진료를 진행하고 있습니다.
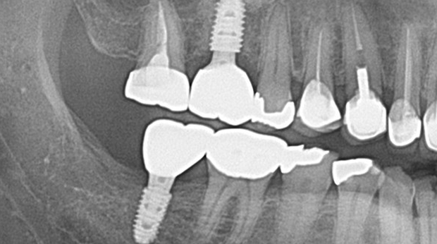
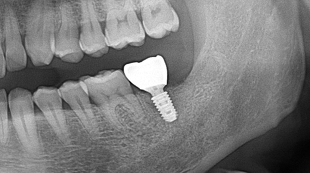
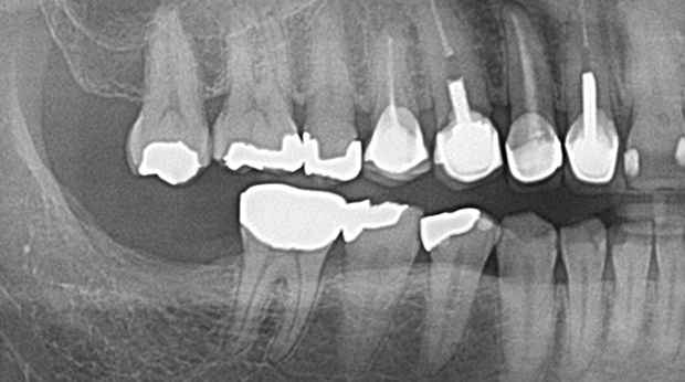
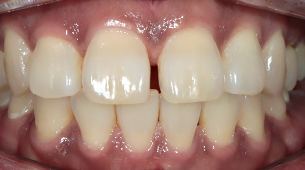
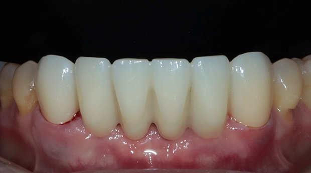
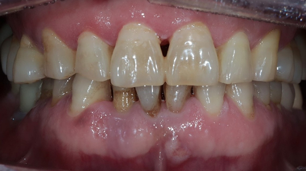
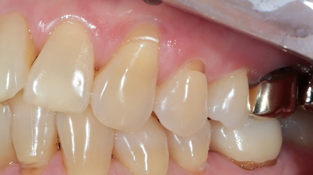
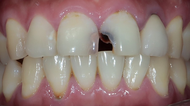
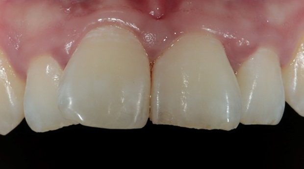
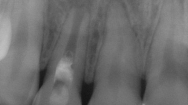
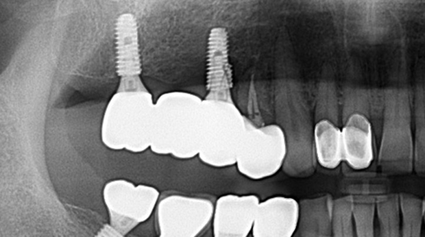
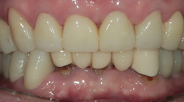
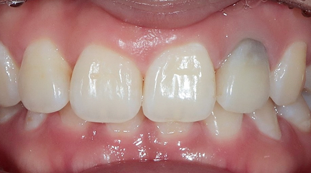
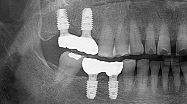
구강외과 진료
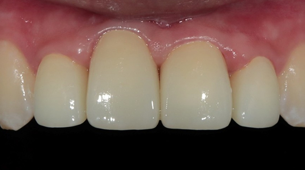
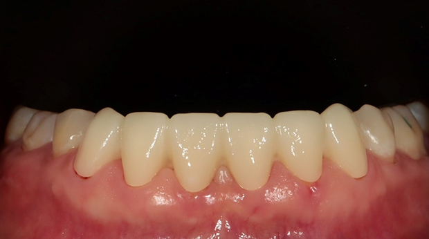
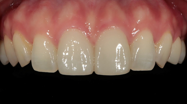
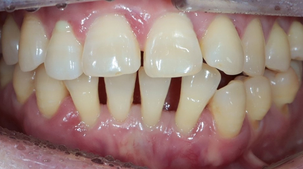
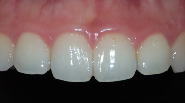
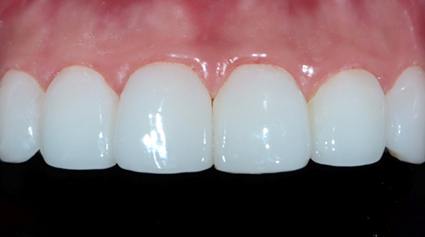
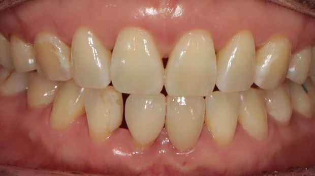
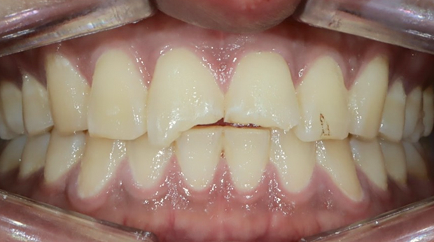
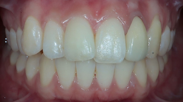
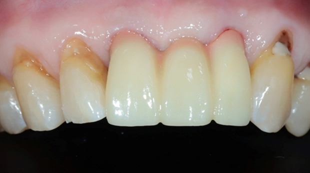
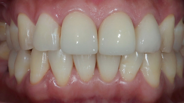
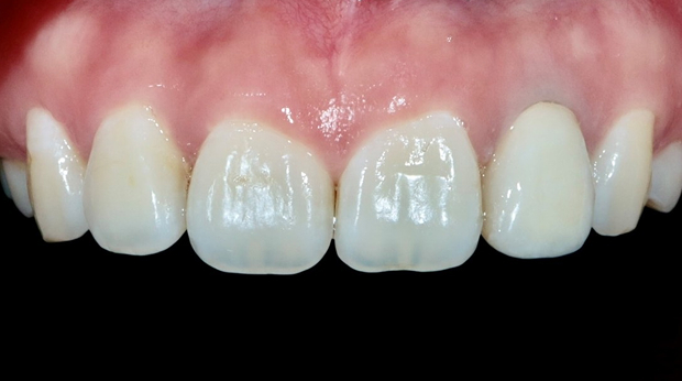
라미네이트
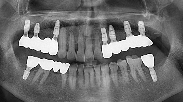
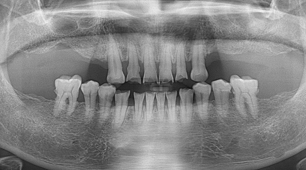
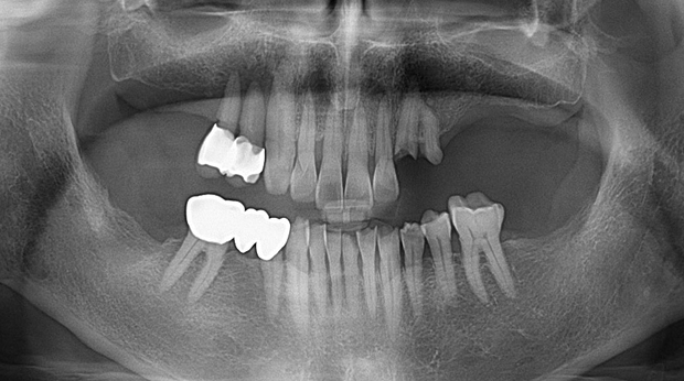
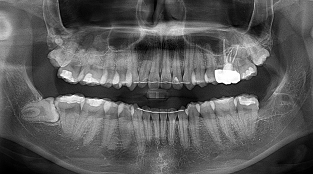
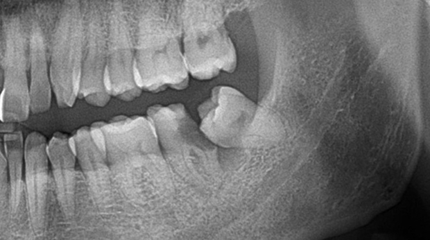
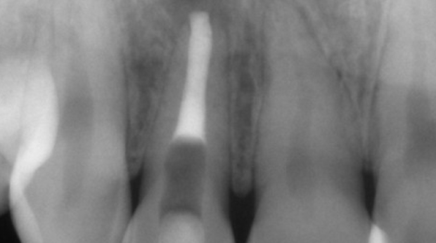
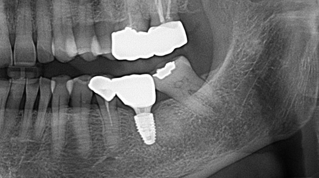
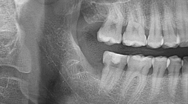
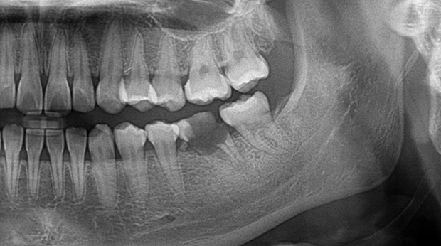
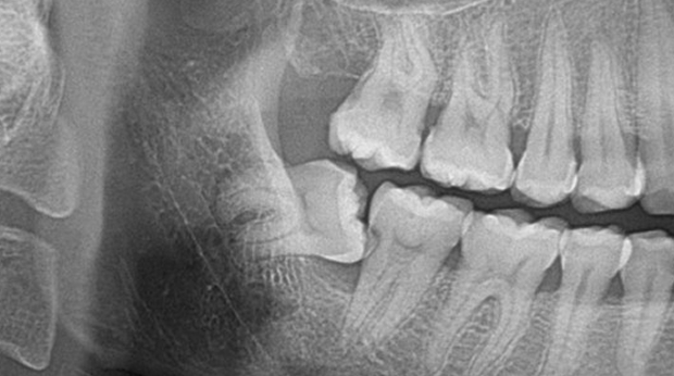
매복 사랑니 발치
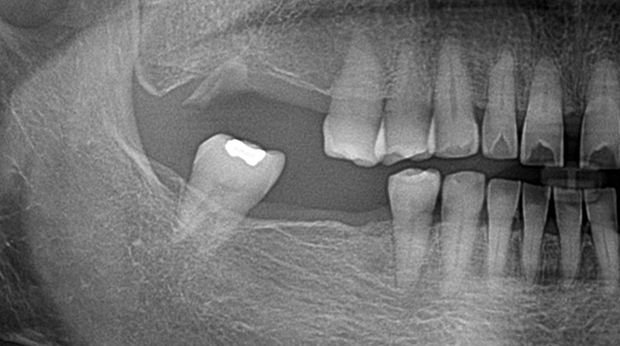
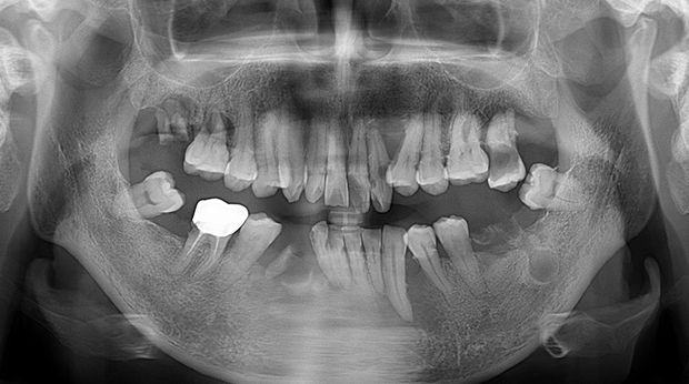
의식하진정법(수면마취)/임플란트
01 / 03
수술 담당 구강악안면외과 전문의
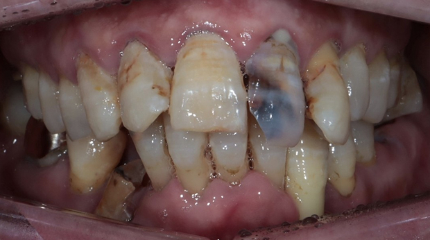
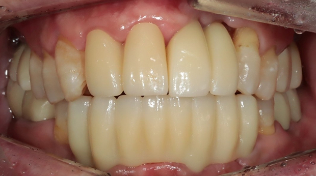
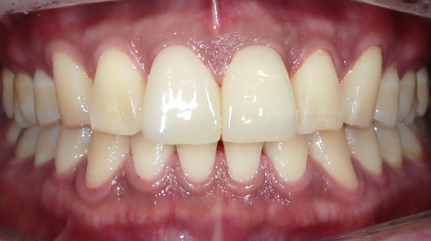
고난도 수술 진료
임플란트와 사랑니 발치는 외과적 시술로 잇몸을 절개하는 외과적 시술은
짧으면 짧을 수록 시술 후 붓기와 통증이 최소화됩니다.
치과의사 경력 14년차 구강외과 전문의가 빠르고 안전하게, 아프지 않게 수술해 드립니다.
치과경력 14년차 구강외과 전문의
연세대학교 치과대학 구강외과 임상 조교수
빠른 수술 / 적은 통증
02 / 03
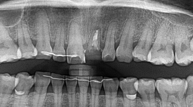
치과 공포증을 해소하여 적절한 치료시기를 놓치지 마세요!
자면서 치료받는, 의식하진정법(수면진정치료)
자고 일어나면, 모든 치료가 끝나 있습니다.
시술 시간도 빠르기 때문에 마취가 풀려도 통증과 붓기가 거의 없습니다.
모든 치료가 가능한 안전한 의식하진정법(수면마취)
실시간 모니터링/산소포화도 측정
심폐소생술 자격증 보유








ju*****
유****
그****
화****
바****
강*****
귀****
WY****
김****